Skip to main content

ISAAC MARTINS

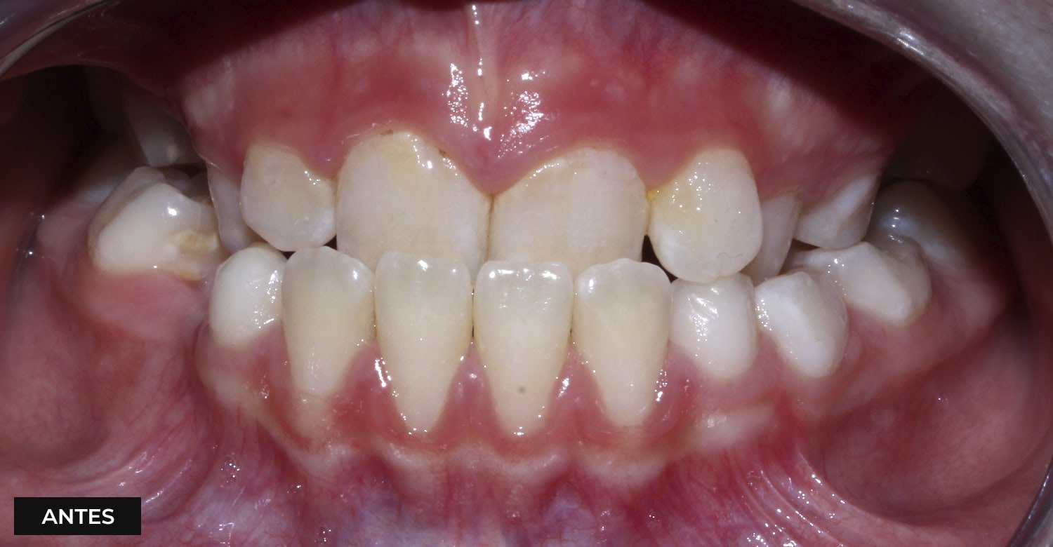
1 – Antes

Iniciou-se o tratamento precoce com um disjuntor palatino para permitir uma disjunção dos maxilares e resolução da mordida cruzada.

2 – Intermédio

Posteriormente foi realizada a colocação de um aparelho fixo. Caso bastante complexo de gestao de espaços visto o paciente apresentar diversas agenesias.

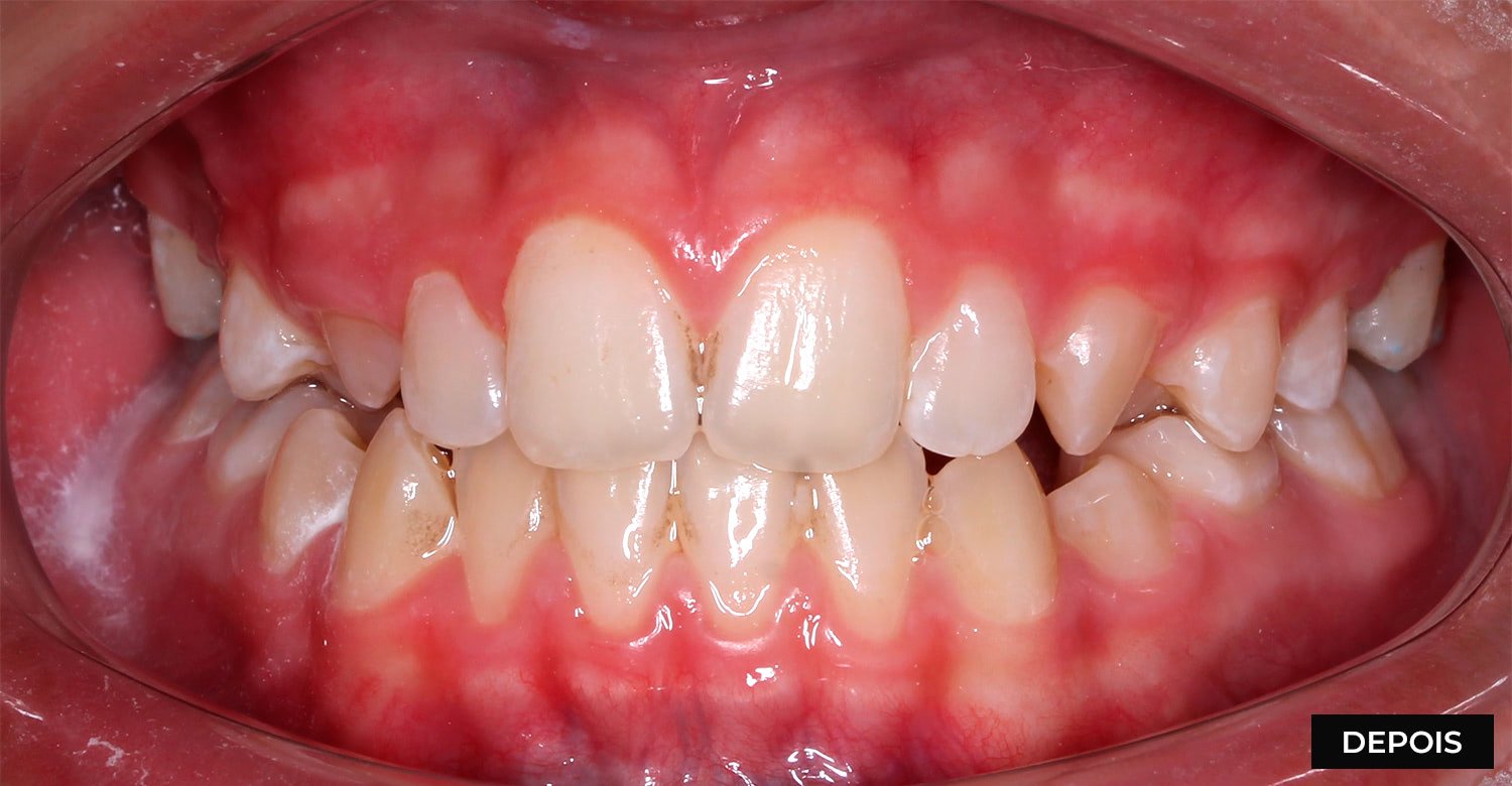
3 – Final

Foi reabilitado com prótese fixa o espaço do dente 12 (que tem agenesia) e restauração a resina composta do dente 22 para o tornar simétrico ao contra-lateral.

P.L.

Paciente do sexo masculino com 8 anos de idade. Apresenta mordida cruzada anterior e posterior bem como o maxilar superior retraído (para trás).
Foi colocado um disjuntor e mascara facial para ajudar no descruzamento da mordida e estimulação do reposicionamento do maxilar superior.
Após o uso de máscara facial e retirada do aparelho.

ANTES E DEPOIS

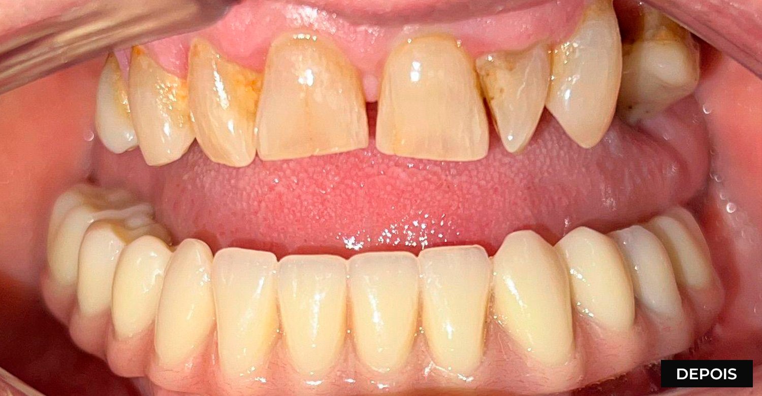
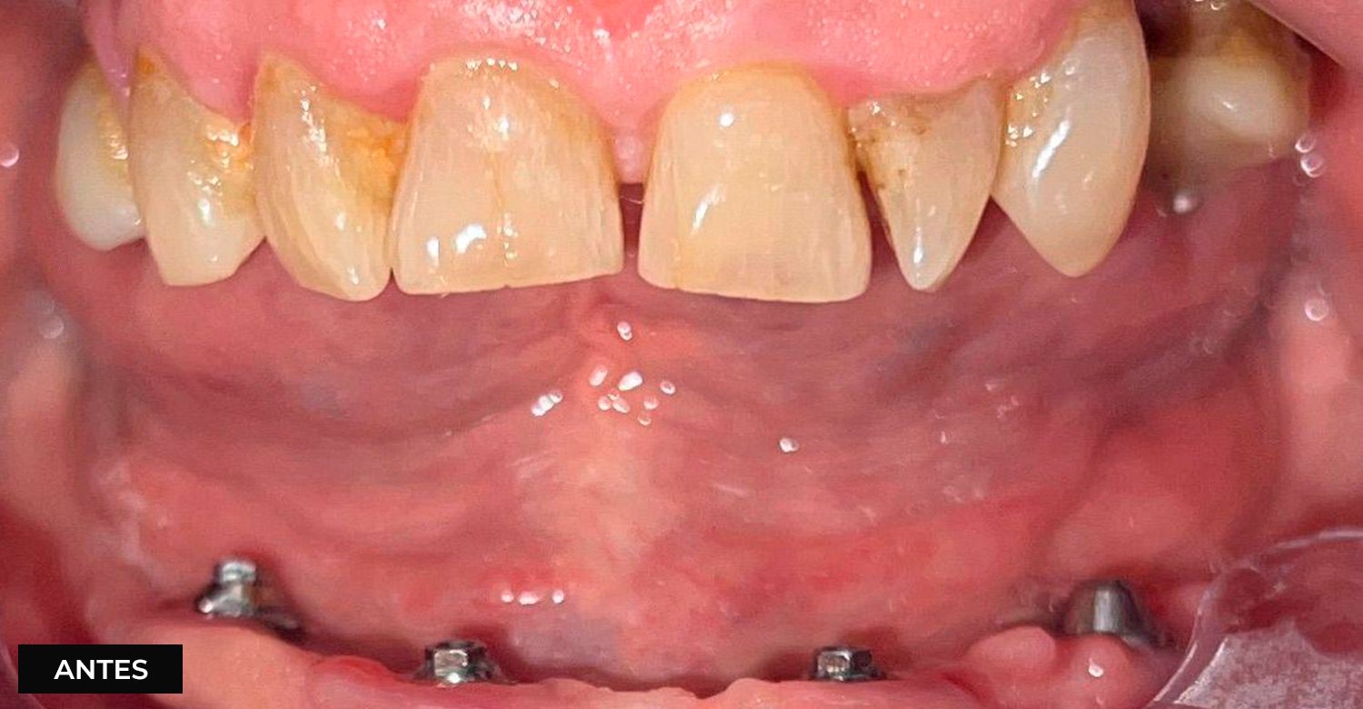
P.C.

A paciente apresentava poucos dentes e estes com mobilidade impossibilitando uma boa mastigação e falta de estética do sorriso.

O resultado (através de uma prótese fixa sobre implantes) é um sorriso renovado, confortável e natural, com a segurança que só uma reabilitação fixa pode oferecer.

ANTES E DEPOIS